Порт-система

Порт-система с иглой.

Порт-система — медицинское устройство, предназначенное для введения препаратов, дренирования, забора крови и т. д. Состоит из катетера, помещенного в сосуд или полость, и соединенного с ним резервуара. Вся система располагается подкожно и обеспечивает постоянный венозный, артериальный, перитонеальный, спинальный или плевральный доступ. Для инъекций используется исключительно игла Губера с особой формой острия, которая не повреждает порт.[1]

Компоненты

Главными компонентами порт-системы являются: порт, состоящий из основного корпуса, силиконовой мембраны и обычно титанового резервуара, который подключается к катетеру при помощи канюли.

Показания

  • Длительные курсы терапии, предусматривающие многократные инфузии (химиотерапия, системная антибиотикотерапия, лечение ВИЧ). Порт-система может использоваться до 5 лет.
  • Введение растворов лекарственных препаратов в течение длительного времени (до 46 часов).
  • Инфузионная терапия у пациентов с затрудненным венозным доступом.
  • Частые заборы крови. Инфузионные порты позволяют сделать процедуру более быстрой и безболезненной.
  • Частое введение крови и кровезаменителей.
  • Парентеральное питание.

Противопоказания

Имплантация порт-системы противопоказана в случаях

  • инфекции или сепсиса,
  • аллергии на любой из материалов, из которых состоит порт или катетер,
  • несовместимости лекарств с любым из материалов, из которых состоит порт или катетер,
  • невозможности имплантации из-за индивидуальной анатомии пациента,
  • прежней радиотерапии в области выбранного для имплантации места,
  • прежних венозных тромбозов.

Виды доступов

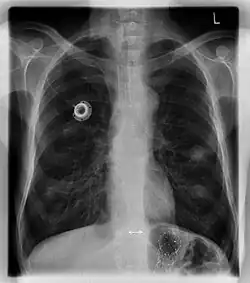
Рентгеновский снимок имплантированного порта.

1. Имплантация чрескожным методом (Селдингер)

  • Пункция вены иглой Селдингера.
  • Металлический проводник вводится в вену через иглу Селдингера, после чего она извлекается из вены.
  • Интродьюсер с разрушаемой оболочкой (peel away) и дилататор устанавливаются с помощью металлического проводника.
  • Проволочный направитель и дилататор удаляются. Катетер вставляется в интродьюсер и продвигается к месту впадения верхней полой вены в правое предсердие. Интродьюсер разрывается. Положение кончика катетера проверяется флюороскопией.
  • Порт промывается раствором натрия хлорида 0,9 %.
  • Создается подкожный карман для порта. Кончик катетера натягивается на специальный инструмент, с помощью которого формируется подкожный туннель между местом пункции и разрезом.
  • Катетер проводится через туннель к разрезу.
  • Катетер одевается на канюлю порта и надежно закрепляется соединительным кольцом.
  • Порт погружается в подготовленный карман и фиксируется. Важно избегать загибов катетера.
  • Контроль работоспособности катетера и порта.

2. Имплантация хирургическим способом

  • Кожа и ткань надрезаются. Затем скальпелем надрезается вена.
  • Катетер промывается раствором натрия хлорида (0.9 %), после чего вставляется в вену с помощью веноподъемника.
  • Катетер продвигается к месту впадения верхней полой вены в правое предсердие. Подготавливается подкожный карман. Дальнейшие шаги см. метод Селдингера.[2]

Техника проведения инфузии при помощи порт-систем

  • После обработки кожи антисептическим раствором устанавливается игла Губера. Её остриё имеет специальное строение: оно не прокалывает силиконовую мембрану, а лишь раздвигает её волокна, сохраняя целостность. За счёт этого возможно многократное использование порт-системы.
  • Далее следует проверка проходимости катетера. Врач подсоединяет к игле шприц и потягивает поршень — в шприце должна появиться кровь. Если этого не происходит, через шприц вводят 20 мл физраствора. О восстановлении проходимости катетера свидетельствует отсутствие отека и болезненности, свободное введение всего объёма физраствора.
  • Игла Губера подсоединяется к инфузионной системе, фиксируется при помощи пластыря или специальной наклейки. Если порт-система установлена правильно, инфузия безболезненна. При возникновении боли процедуру прекращают.
  • После завершения инфузии осуществляется промывание порт-системы физиологическим раствором. Устанавливается «гепариновый замок».
  • После извлечения иглы Губера кожу обрабатывают раствором антисептика, при необходимости накладывают давящую повязку[3].

Осложнения

  • Инфекции из-за недостатка стерильности. Симптомы — нагноение, покраснение, опухоль, боль. Лечение включает антибиотики или удаление порт-системы.
  • Механические осложнения:
  • Закупоривание — причиной может быть неправильный диаметр катетера по отношению к размеру сосуда, а также несовместимость препаратов. Дальнейшие инъекции невозможны, нет рефлюкса крови, пациент ощущает боль.
  • Утечка введенных препаратов — может произойти из-за неправильного обращения с порт-системой во время имплантации, например неправильного подключения порта к катетеру. Первые признаки утечки — это опухоль и покраснение тканей вокруг катетера.
  • Перемещение катетера — может возникнуть вследствие неправильного присоединения к порту, из-за чего может возникнуть аритмия, а также затрудненное дыхание и боль.
  • Тромбоз — неправильный уход, а в частности недостаток промывания системы, может привести к образованию тромбозов, из-за чего дальнейшие использование системы невозможно.
  • Защемление (pinch-off) — может возникнуть, если катетер имплантирован в подключичную вену, установлен слишком медиально, произошло защемление катетера между первым ребром и ключицей, повреждение или разрыв катетера. При защемлении катетера необходимо изменять положение тела пациента для вливания жидкости или получения пробы крови. В случае разрыва возникают осложнения при процедурах а также риск перемещения оторванного катетера в сердце и т. д. Тщательная проверка позиции катетера во время имплантации предотвратит осложнение такого рода.[2]

Примечания

  1. Samuel. E. Wilson: Vascular Access, Principles and Practice, 2010.
  2. 1 2 Volker Schumpelick: Atlas of General Surgery, 2009, p. 25-27.
  3. Инновационные технологии в химиотерапии. Инфузионные порт-системы для химиотерапии. Дата обращения: 5 декабря 2014. Архивировано 18 октября 2014 года.