Солитарный лёгочный узел
| Солитарный лёгочный узел | |
|---|---|
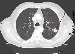
Рентгенограмма грудной клетки, демонстрирующая солитарный лёгочный узел в верхней доле левого лёгкого. | |
| Вид исследования | Рентгенография, компьютерная томография, позитронно-эмиссионная томография |
| Область исследования | Грудная клетка |
Солитарный лёгочный узел (одиночное периферическое образование) — в рентгенологии, периферическое образование в лёгочной ткани размером менее 3 см. Может быть случайной находкой на 0,2 % рентгенограмм грудной клетки[1] и около 1 % компьютерных томограмм[2].
Чаще солитарный лёгочный узел представляет собой доброкачественное новообразование (гамартому, гранулёму), однако в 20 % случаев обусловлен злокачественной опухолью[2] , особенно у пожилых пациентов и курильщиков. И, напротив, у 10 %-20 % пациентов с раком лёгкого заболевание обнаруживается этим симптомом[2]. Таким образом, для исключения рака необходима дальнейшая радиологическая и интервенционная диагностика с возможной резекцией лёгкого. Прогноз зависит от патологии, обуславливающей симптом.
Определение
Солитарные лёгочные узлы следует отличать от инфильтратов, более крупных опухолей или образований с иными сопутствующими радиологическими симптомами. Солитарный лёгочный узел представляет собой единичный периферический очаг, со всех сторон окружённый лёгочной тканью, диаметром менее 3 см, не ассоциированный с пневмонией, ателектазом или лимфаденопатией[3][4].
Причины
Не каждая округлая периферическая тень представляет собой солитарный лёгочный узел, и может быть обусловлена проекционным наслоением образований кожи и структур грудной стенки (соска, консолидированного перелома ребра), ЭКГ-датчика.
Приоритетным является исключение злокачественного новообразования лёгкого, включая редкие формы — первичную лимфому лёгкого, карциноид, солитарный метастаз в лёгкое (обычно нераспознанной первичной опухолью оказываются меланома, саркома, рак яичка). Доброкачественные опухоли лёгкого чаще представлены гамартомами и хондромами.
В числе неопухолевых заболеваний наиболее часто выявляется гранулёматозный воспалительный очаг, например, туберкулёзной или грибковой природы. В числе других инфекционных процессов — абсцесс лёгкого, шаровидная пневмония (в том числе пневмоцистная), редко — нокардиозы или гельминтозы. Также периферические образования неопухолевой природы могут быть обусловлены аутоиммунным процессом (ревматоидный артрит, гранулёматоз Вегенера).
Иные причины солитарных лёгочных узлов — артериовенозная мальформация, гематома, зона инфаркта, а также атрезия бронха, секвестрация, инородное тело в бронхе или плевральная бляшка.
Первичная оценка
Для оценки риска и тактики ведения пациента необходим сбор анамнеза, физикальный осмотр и радиологическое исследование. Наиболее часто таким пациентам проводится компьютерная томография.
Радиологические характеристики

Дифференцировать злокачественное периферическое образование от доброкачественного помогают некоторые особенности. Учитывается размер образования: чем оно меньше, тем меньше риск злокачественности. Доброкачественные образования обычно имеют чёткие контуры, злокачественные имеют неравномерные, местами нечёткие границы или дольчатую структуру[4]. При наличии в образовании полости имеет значение толщина её стенок: чем тоньше стенка, тем более вероятна его доброкачественная природа и наоборот (наиболее достоверна толщина стенок менее 4 мм или более 16 мм, соответственно)[4]. При раке лёгкого полость в толще очага обусловлена некрозом (распадом) или вторичным абсцедированием. Если на фоне очага визуализируются воздушные полоски бронхов (воздушная бронхограмма), следует заподозрить бронхиолоальвеолярный рак.
Зачастую солитарные лёгочные узлы содержат кальцинаты. Существуют характерные паттерны обызвествления, например, обызвествление при гамартоме имеет вид «попкорна»[1]. Одиночные лёгочные узлы с денситометрическими показателями менее 15 HU при компьютерной томографии более вероятно имеют доброкачественный характер, чем узлы с денситометрическими показателями более 25 HU. Жировая ткань в структуре гамартом будет иметь достоверно отрицательные значения по шкале Хаунсфилда.
Также информативна скорость роста образования: слишком бурное или слишком медленное увеличение размеров очага редко имеют злокачественную природу, в противоположность, соответственно, воспалительному процессу или врождённой аномалии[5]. Таким образом, целесообразна оценка динамики размеров образования в сравнении с имеющимися предыдущими исследованиями. Такая оценка более затруднительна при диаметре образования менее 1 см. Помимо этого, прогностическая ценность оценки динамики стабильного образования, существующего более двух лет, признана низкой и ненадёжной[5].
Клинические особенности
Для оценки риска злокачественности образования следует учитывать анамнестические особенности (контакт с ингаляционными канцерогенами, воспалительные заболевания органов дыхания или злокачественные заболевания в анамнезе). При наличии клинической картины поражения дыхательных путей (особенно кровохарканье) злокачественное новообразование более вероятно.
Тактика

Тактика ведения пациентов с солитарным лёгочным узлом основана на первичной оценке риска. Если риск злокачественности признан невысоким, планируется динамическое КТ-наблюдение (компьютерная томография). Частота проведения последующих исследований зависит от установленного риска злокачественности и размеров очага[6]. Если риск злокачественности оценён как высокий, целесообразно хирургическое вмешательство (при отсутствии противопоказаний).
При среднем риске злокачественности, по возможности, проводится плановое ПЭТ-исследование (позитронно-эмиссионная томография). Приблизительно у 95 % пациентов со злокачественным новообразованием в лёгком ПЭТ-картина обнаруживает патологические изменения в лёгочной ткани; у 78 % пациентов с доброкачественным новообразованием ПЭТ-картина патологию не обнаруживает[7]. Таким образом, позитронно-эмиссионная томография надёжно выявляет злокачественные новообразования в лёгких, однако в ряде иных случаев (например, при воспалении, инфекционном процессе) патологический очаг также выявляется. При диаметре образования менее 1 см проведение ПЭТ не целесообразно в связи с повышенной возможностью ложно-отрицательного результата[7][8][9]. Злокачественные новообразования обычно имеют высокий метаболизм, что проявляется при ПЭТ высоким потреблением фтордезоксиглюкозы (ФДГ).
При подозрении на злокачественность очага в ходе динамического КТ-наблюдения производится хирургическое удаление образования (посредством торакотомической или видеоторакоскопической операции) с последующей морфологической верификацией.
В ряде случаев возможна морфологическая верификация образования посредством бронхоскопии или трансторакальной игольной биопсии под контролем КТ. Игольная биопсия позволяет получить лишь клеточный материал для цитологической оценки, не позволяя оценить гистологическое строение ткани. Биопсия может осложниться лёгочным кровотечением или пневмотораксом, в некоторых, но не во всех[10] случаях требующим дренирования плевральной полости.
Помимо КТ и ПЭТ, для оценки солитарных лёгочных узлов применяются ПЭТ-КТ (одновременное ПЭТ и КТ-сканирование с наложением полученных изображений), МРТ или однофотонная эмиссионная компьютерная томография (ОФЭКТ)[11] .
Примечания
- ↑ 1 2 Ost D., Fein A. M., Feinsilver S. H. Clinical practice. The solitary pulmonary nodule (англ.) // N. Engl. J. Med. : journal. — 2003. — June (vol. 348, no. 25). — P. 2535—2542. — doi:10.1056/NEJMcp012290. — PMID 12815140. Архивировано 25 апреля 2009 года.
- ↑ 1 2 3 Alzahouri K., Velten M., Arveux P., Woronoff-Lemsi M. C., Jolly D., Guillemin F. Management of SPN in France. Pathways for definitive diagnosis of solitary pulmonary nodule: a multicentre study in 18 French districts (англ.) // BMC Cancer : journal. — 2008. — Vol. 8. — P. 93. — doi:10.1186/1471-2407-8-93. — PMID 18402653. — PMC 2373300. Архивировано 24 марта 2012 года.
- ↑ Tan B. B., Flaherty K. R., Kazerooni E. A., Iannettoni M. D. The solitary pulmonary nodule (неопр.) // Chest. — 2003. — January (т. 123, № 1 Suppl). — С. 89S—96S. — doi:10.1378/chest.123.1_suppl.89S. — PMID 12527568. Архивировано из оригинала 12 января 2013 года.
- ↑ 1 2 3 Winer-Muram H. T. The solitary pulmonary nodule (неопр.) // Radiology. — 2006. — April (т. 239, № 1). — С. 34—49. — doi:10.1148/radiol.2391050343. — PMID 16567482.
- ↑ 1 2 Erasmus J. J., Connolly J. E., McAdams H. P., Roggli V. L. Solitary pulmonary nodules: Part I. Morphologic evaluation for differentiation of benign and malignant lesions (англ.) // Radiographics : journal. — 2000. — Vol. 20, no. 1. — P. 43—58. — PMID 10682770.
- ↑ MacMahon H., Austin J. H., Gamsu G., et al. Guidelines for management of small pulmonary nodules detected on CT scans: a statement from the Fleischner Society (англ.) // Radiology : journal. — 2005. — November (vol. 237, no. 2). — P. 395—400. — doi:10.1148/radiol.2372041887. — PMID 16244247.
- ↑ 1 2 Gould M. K., Maclean C. C., Kuschner W. G., Rydzak C. E., Owens D. K. Accuracy of positron emission tomography for diagnosis of pulmonary nodules and mass lesions: a meta-analysis (англ.) // JAMA : journal. — 2001. — February (vol. 285, no. 7). — P. 914—924. — doi:10.1001/jama.285.7.914. — PMID 11180735. Архивировано из оригинала 25 апреля 2009 года.
- ↑ Khan A. ACR Appropriateness Criteria on solitary pulmonary nodule (англ.) // J Am Coll Radiol : journal. — 2007. — March (vol. 4, no. 3). — P. 152—155. — doi:10.1016/j.jacr.2006.12.003. — PMID 17412254.
- ↑ Vansteenkiste J. F., Stroobants S. S. PET scan in lung cancer: current recommendations and innovation (англ.) // J Thorac Oncol : journal. — 2006. — January (vol. 1, no. 1). — P. 71—3. — doi:10.1097/01243894-200601000-00014. — PMID 17409830.
- ↑ Erasmus J. J., McAdams H. P., Connolly J. E. Solitary pulmonary nodules: Part II. Evaluation of the indeterminate nodule (англ.) // Radiographics : journal. — 2000. — Vol. 20, no. 1. — P. 59—66. — PMID 10682771.
- ↑ Cronin P., Dwamena B. A., Kelly A. M., Carlos R. C. Solitary pulmonary nodules: meta-analytic comparison of cross-sectional imaging modalities for diagnosis of malignancy (англ.) // Radiology : journal. — 2008. — Vol. 246, no. 3. — P. 772—782. — doi:10.1148/radiol.2463062148. — PMID 18235105.
